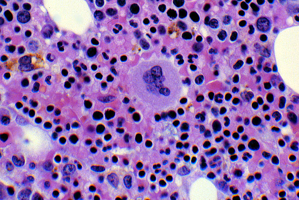
Erythroid hyperplasia, bone marrow biopsy
Click picture to enlarge. Close window to return

The bone marrow cellularity is increased due to the presence of increased erythropoieses. This is an appropriate response in this patient with a hemolytic episode.