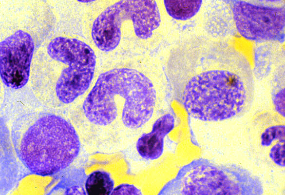
Megaloblastic granulopoiesis, bone marrow aspirate
Click picture to enlarge. Close window to return

The granulocytes show megaloblastic features, with nuclear-cytoplasmic asynchrony. Note the presence of a giant metamyelocyte, a charactoristic finding.