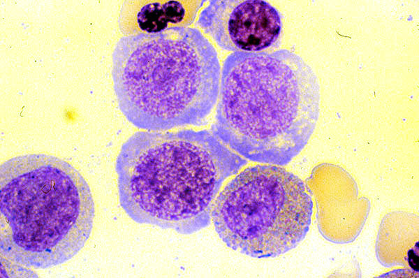
Megaloblastic erythropoiesis, bone marrow aspirate
Click picture to enlarge. Close window to return

These erythroid precursors show marked megaloblastic features. The cells are larger in size than normal, and have more cytoplasm relative to the nuclear size. Nuclear cytoplasmic asynchrony is present, as the nuclear chromatin maturation is immature relative to the cytoplasm. Note the "sieve-like" chromatin pattern.