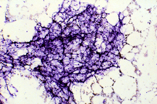
Hypocellular bone marrow, aspirate, aplastic anemia
Click picture to enlarge. Close window to return

The bone marrow particles consist primarily of adipose tissue containing stromal cells and infrequent hemopoietic precursors.