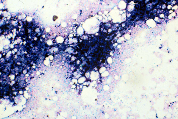
Increased iron stores, prussian blue stain, bone marrow aspirate.
Click picture to enlarge. Close window to return

This marrow shows marked increase in iron stores, observed as dark blue granules in the bone marrow particles.