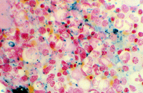
Normal iron stores, prussian blue stain, bone marrow aspirate
Click picture to enlarge. Close window to return

The irons appear as blue granules in the prussian blue stain. Normal quantity of iron stores are present in this marrow.