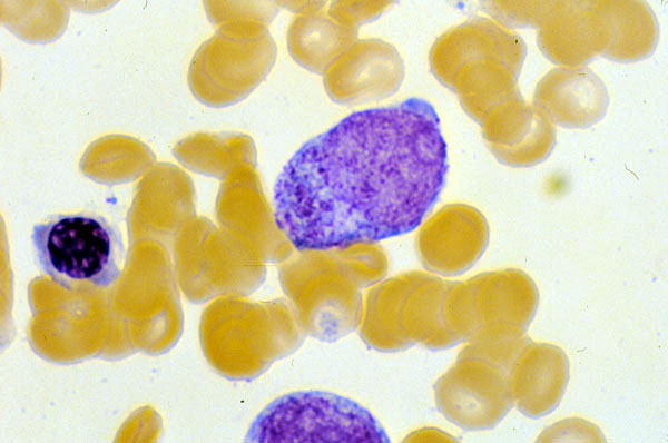
Promyelocyte, bone marrow aspirate
Click picture to enlarge. Close window to return

A promyelocyte is an immature granulocyte which contains abundatn red (Azurophilic) cytoplasmic granules and an oval nucleus with fairly finely dispersed chromatin.