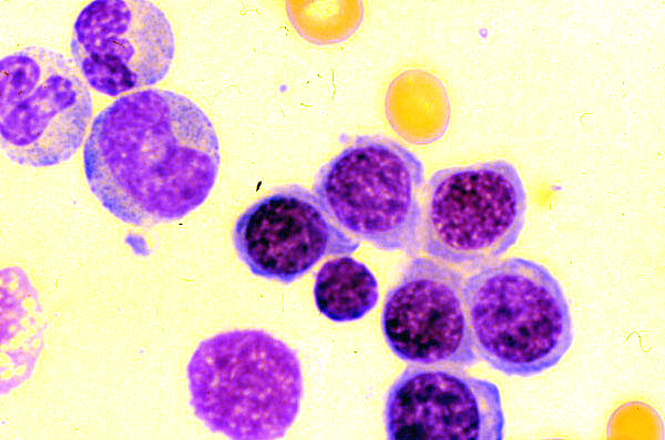
Erythroid precursors, normal bone marrow aspirate
Click picture to enlarge. Close window to return

Erythroid precursors in severalstages of maturation are present, which show the charactoristic deeply basophilic cytoplasm and round nuclei with coarsely cluped chromatin.