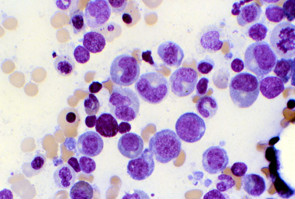
Normal bone marrow aspirate,smear
Click picture to enlarge. Close window to return

A bone marrow aspirate consists of a polymorphous population of hemopoietic cells, and includes megakarkyocytes, lymphocytes, monocytes and myeloid and erythroid precursors in all stages of maturation. A cell count is done to determine the relative cellular components.