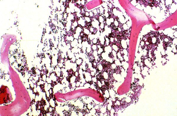
Bone marrow trephine biopsy, histology, low power
Click picture to enlarge. Close window to return

Bone marrow biopsies are usually obtained from the iliac crest, and consist of a core biopsy of bone. Cellularity refers to the ratio of cells to fat, and is about 50% in this slide. Biopsy is used to access cellularity, fibrosis, granuloma's, relative cellular constituents, presence of atypical infiltrates and quantitation of megakaryocytes.