Hallmarks of chronic inflammation
Click picture to enlarge. Close window to return

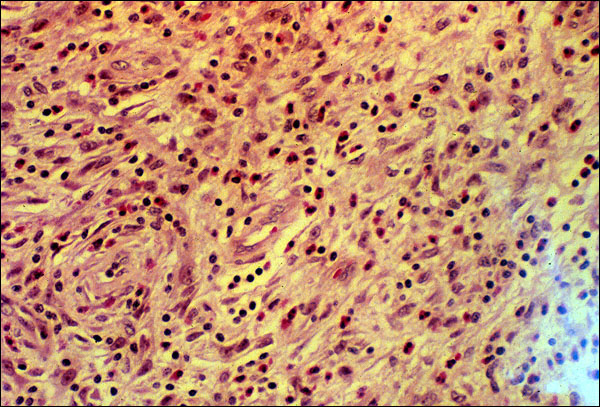
Chronic-active inflammation. The inflammatory response is a dynamic, changing thing. Thus, there are transitional stages, during which the response is changing from one major type of inflammation to the next. This photomicrograph shows the transition between acute and chronic, which is often referred to as chronic-active. Note that there are both polymorphonuclear leukocytes and mononuclear cells (lymphocytes and macrophages). The latter cell types are the hallmarks of chronic inflammation. Another hallmark, not described in your text, is the production of fibrous connective tissue, which is in its earliest stages in this lesion.Note that the hallmarks of acute inflammation have markedly diminished by this stage.