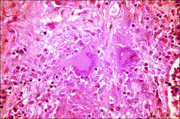
Multinucleated giant cells
Click picture to enlarge. Close window to return

This is a photomicrograph of a so-called Langhans-type giant cell. Giant cells are given the Langhans name when their nuclei form either a horseshoe pattern (center) or a complete circular pattern (right).