Chronic inflammation
Click picture to enlarge. Close window to return

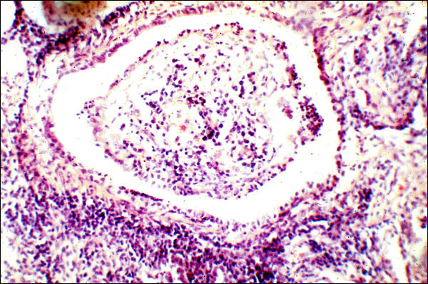
This slide is a photomicrograph of a section of lung afflicted with bronchiolitis obliterans. This is the result of chronic inflammation and is literally the plugging of bronchioles with fibrous connective tissue. Thus, fibrosis can just as well cause loss of function by adding fibrous connective tissue where it doesn't belong -- in this case, in an airway -- as by constriction.