Margination and adherence of leukocytes
Click picture to enlarge. Close window to return

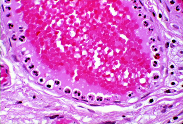
While you have a cartoon in the right panel of text Fig. 2-14 that depicts margination and adherence, it's not as impressive as the real thing. Note in the accompanying photomicrograph here that neutrophils literally line the endothelial surfaces of this vessel. This must have been a very early stage in the inflammatory reaction, because none of them is yet extending a pseudopod through the vessel's wall, thereby initiating the process of diapedesis (transmigration).