Endothelial Cells
Click picture to enlarge. Close window to return

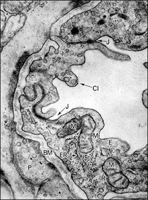
One of the statements made in your text is that, "One of the most important functions of endothelial cells is the regulation of tissue perfusion under physiologic and pathologic conditions (Fig.2-10)". It is important that this be remembered, because these cells are often forgotten with respect to their functions in inflammation, in contrast to emigrating leukocytes. The ultramicrograph shown is the same one used earlier to emphasize the importance of tight junctions, which are the entities
between endothelial cells that separate when mediators cause endothelial cells in postcapillary venules to retract. Also in this ultramicrograph, you
will see the way that fluids normally traverse an endothelial cells -- in the myriad endocytic vesicles that you can see forming at the luminal surface (Cl),
passing through the cytoplasm of the endothelial cell in vesicles (complete, membrane-bounded circles) and discharging on the side of the endothelial cell that is apposed to the basement membrane (BM). The vesicles that are discharging their contents fuse with the plasma membrane and, after doing so, are comparable in appearance to those that are forming at the opposite, luminal, surface.