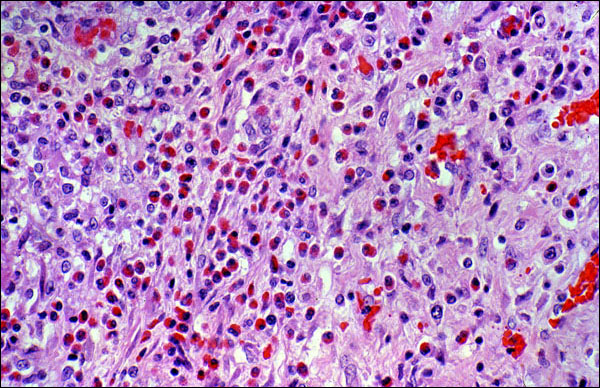
Eosinophil in tissue
Click picture to enlarge. Close window to return

This is a relatively low power photomicrograph of a section of tissue that contains large numbers of eosinophils. This might be an inflammatory reation that is associated with the presence of a parasite. Even at this low level of magnification, it is readily possible to identify these leukocytes as eosinophils, because of their large, bright red granules.