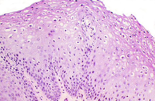
HPV infection, histology.
Click picture to enlarge. Close window to return

Cervical squamous epithelium is thickened with koilocytic changes. The cells have atypical hyperchromatic irregular nuclei with smudged chromatin. Cytoplasmic vacuolization is also noted.