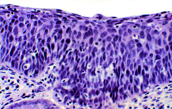
Cervical intraepithelial neoplasia, CIN III (severe dysplasia), histology.
Click picture to enlarge. Close window to return

In CIN III there is lack of maturation in the entire thickness of the epithelium with marked nuclear enlargement and hyperchromasia. Mitotic activity is also increased