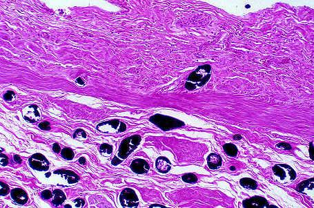
Parasitic chronic cystitis
Click picture to enlarge. Close window to return

Schistosomiasis, histology. The urinary bladder wall contains numerous calcified ova of Schistosoma haematobium. The chronic inflammation leads to squamous metaplasia, and eventually squamous cell carcinoma in some cases. Squamous cell carcinoma is the most common type of bladder carcinoma in Egypt, where schistosomiasis is endemic.