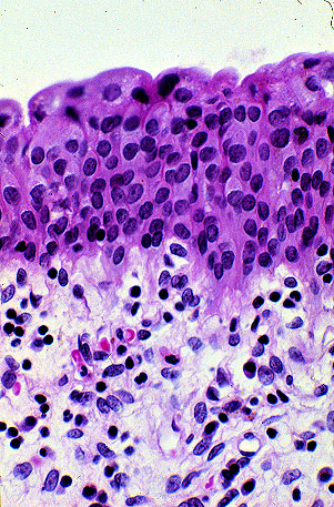
Chronic cystitis, histology
Click picture to enlarge. Close window to return

The submucosa is infiltrated with lymphocytes, plasma cells and macrophages. The transitional epithelium is well preserved.