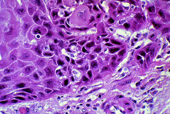
Squamous cell carcinoma, penis, histology, high power
Click picture to enlarge. Close window to return

The cells have the characteristic appearance of squamous cells, large cells with abundant, pink cytoplasm. Nuclei vary in size and shape.