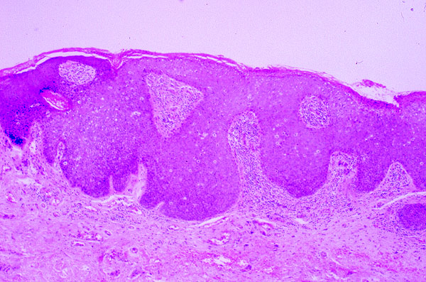
Enfermedad (Ca) de Bowen, micro panorámica
Click picture to enlarge. Close window to return

The thickened epithelium shows lack of normal maturation and contains atypical cells that frequently have vaculated cytoplasm.