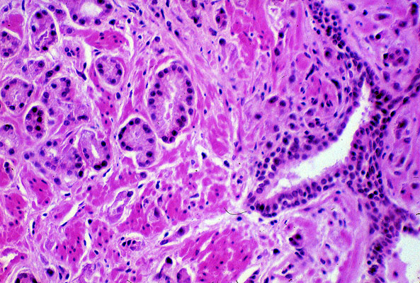
Adenocarcinoma, prostate, histology
Click picture to enlarge. Close window to return

The tumor is composed of small glands that are lined by a single layer of hyperchromatic cells. In contract to normal glands, which have two layers, these neoplastic glands have only one layer and abut directly onto the interstitial connective tissue. A normal prostatic duct appears at the far right.