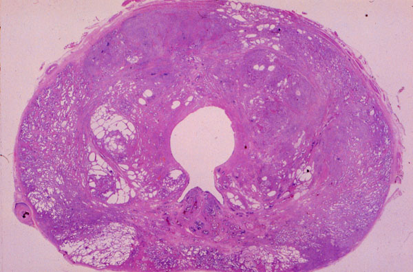
Carcinoma of the prostate, histology
Click picture to enlarge. Close window to return

The tumor is composed of small glands that infiltrate in an irregular manner between the connective tissue and smooth muscle cells. A stellate remnant of a normal prostatic duct is seen on the right hand side.