Benign prostatic hyperplasia
Click picture to enlarge. Close window to return

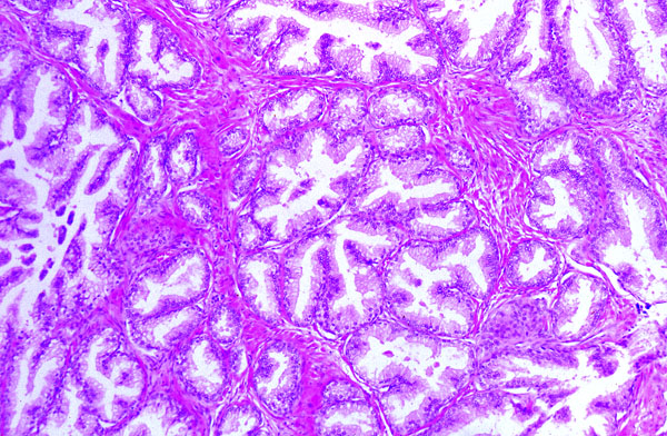
The glands are lined by hyperplastic but otherwise normal cells. The cells form tufts that protrude into the lumen. Underneath the columnar epithelium, one can see a distinct layer of flattened basal cells.