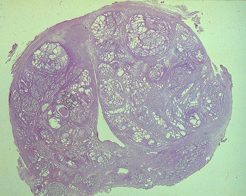
Benign prostatic hyperplasia, histology
Click picture to enlarge. Close window to return

The prostate contains groups of glans composed of cells that appear hyperplastic and protrude into the lumen.