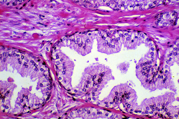
Benign prostatic hyperplasia, histology
Click picture to enlarge. Close window to return

The hyperplastic glands have papillary-like infoldings, with a myoepithelial cell layer (small nuclei near basement membrane). Malignant glands do not have this layer. Note that the stroma divides the glands one from another. Malignant glands are often "back to back", without this intervening stroma.