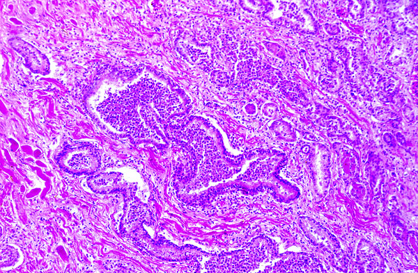
Acute prostatitis, histology
Click picture to enlarge. Close window to return

The glands and ducts of the prostate contain pus, i.e., an exudate of polymorphonuclear leukocytes.