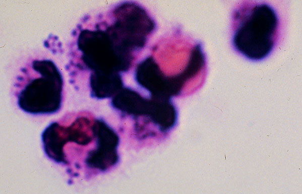
Gonorrhea, cytology smear
Click picture to enlarge. Close window to return

These polymorphonuclear leukocytes represent the discharge from the urethra of the infected patient. The cytoplasm of the PMN contains diplococci corresponding to N. gonorrhoeae.