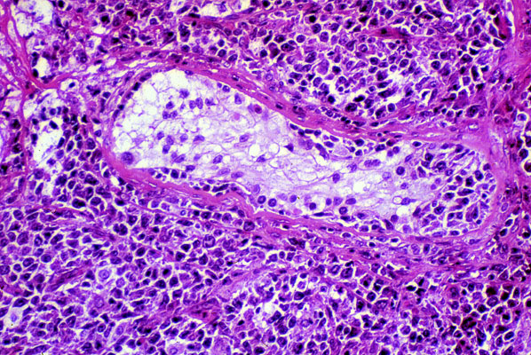
Lymphoma, testis, histology
Click picture to enlarge. Close window to return

This seminiferous tubule is surrounded by a dense infiltrate of tumor cells that have destroyed most of the parenchyma.