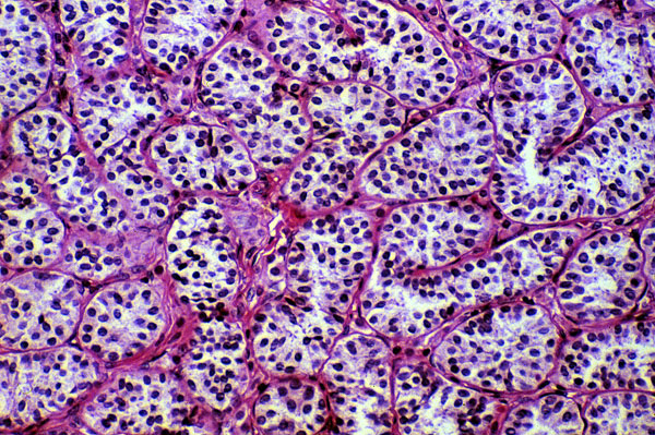
Sertoli cell tumor, histology
Click picture to enlarge. Close window to return

The tumor is composed of cells arranged into tubules resembling an immature testis.