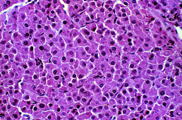
Leydig cell tumor, histology
Click picture to enlarge. Close window to return

The tumor is composed of polyhedral cells that have uniformly round nuclei and well developed eosinophilic cytoplasm.