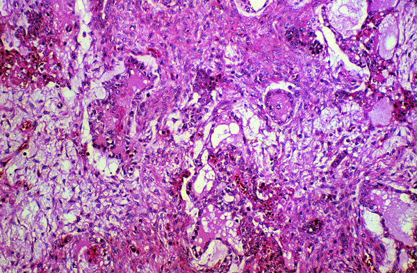
Yolk sac tumor, histology
Click picture to enlarge. Close window to return

The tumor has a variegated appearance and consits of solid, cystic and reticular components.