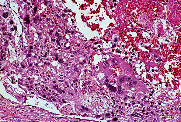
Choriocarcinoma, histology
Click picture to enlarge. Close window to return

The tumor consists of nests of embryonal carcinoma cells (dark blue) and scattered syncytiotrophoblastic giant cells, admixed to blood.