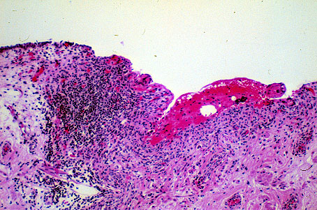
Chronic hemorrhagic cystitis, histology
Click picture to enlarge. Close window to return

The mucosa of the urinary bladder is ulcerated and focally covered with blood. The submucosa is infiltrated with chronic inflammatory cells.