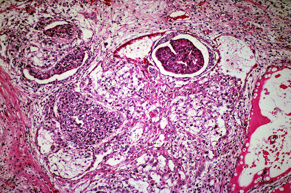
Teratocarcinoma, histology
Click picture to enlarge. Close window to return

The overview picture of the tumor shows that it has a variegated appearance. The nest of dark blue cells corresponds to embryonal carcinoma cells whereas other tissues are differentiated derivatives of the stem cells.