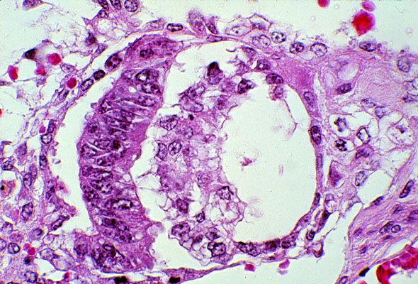
Embryoid body, teratocarcinoma, histology
Click picture to enlarge. Close window to return

The tumor cells form a structure resembling early postimplantation human embryo. The embryoid body contains a distinct embryonic plate surrounded by other layers corresponding to primitive endoderm and/or yolk sac.