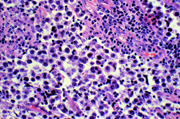
Seminoma, histology
Click picture to enlarge. Close window to return

Histologically, the characteristic features are: large nuclei, prominant nucleoli, clear cytoplasm, fine septae, and a lymphocytic infiltrate in many cases. Necrosis is rare.