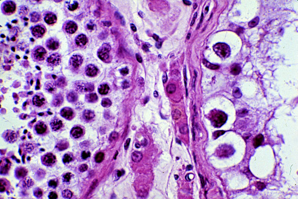
Carcinoma in situ of the testis, histology
Click picture to enlarge. Close window to return

The seminiferous tubule to the left shows normal spermatogenesis. The tubule to the right contains large clear cells that have centrally located nuclei of irregular shape. These large cells correspond to carcinoma in situ of the testis.