Cryptorchid testis
Click picture to enlarge. Close window to return

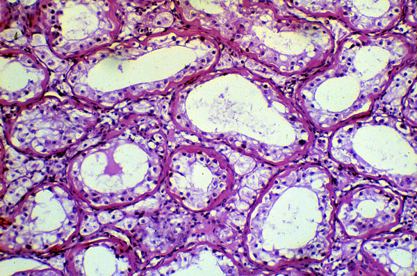
The seminiferous tubules are dilated and show no evidence of spermotagenesis. The basement membrane is thickened.