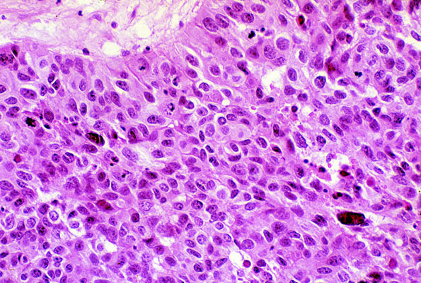
Transitional cell carcinoma, grade III
Click picture to enlarge. Close window to return

The tumor nests are composed of cells that show marked pleomorphism, and only vaguely resemble transitional epithelium.