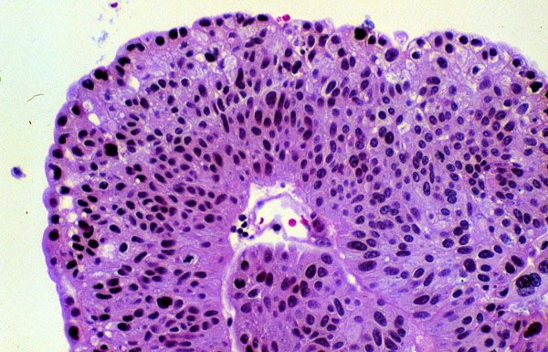
Transitional cell carcinoma, grade II, histology
Click picture to enlarge. Close window to return

The surface layer of this bladder tumor appears disorganized. The cells shows variation in size and shape and the polarity of the nuclei has been lost.