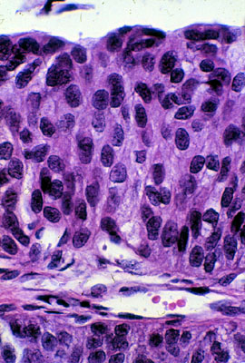
Transitional cell carcinoma, grade I, histology
Click picture to enlarge. Close window to return

Higher power view of the thickened transitional cell epithelium that shows relative uniformity of cells and only mild loss of polarity.