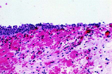
Hemorrhagic cystitis, histology
Click picture to enlarge. Close window to return

The mucosa is partially ulcerated, and the submucosa is suffused with blood.