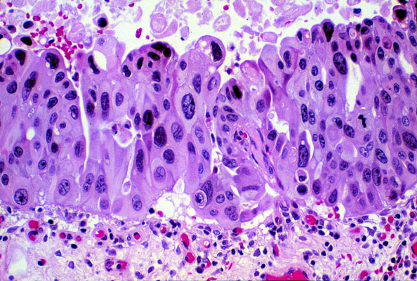
Carcinoma in situ, histology
Click picture to enlarge. Close window to return

The normal transitional epithelium has been replaced by thickened epithelium composed of cells that have hyperchromic nuclei and vary in size and shape. The nuclei show no polarization. These flat carcinoma-in-situ lesions are prone to endophytic growth and invasion of the bladder wall.