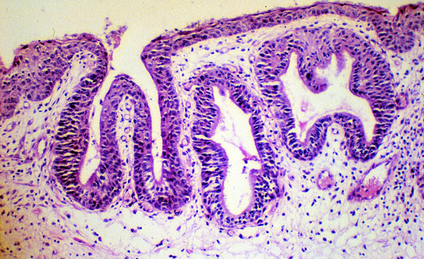
Cystitis cystica, histology
Click picture to enlarge. Close window to return

The submucosa contains deep invaginations and spaces lined by cuboidal glandular epithelium.