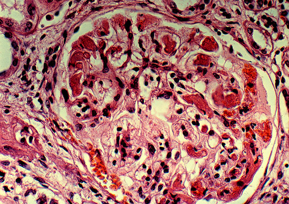
Thrombotic microangiopathy, glomerulus
Click picture to enlarge. Close window to return

Glomerular capillaries contain thrombi.