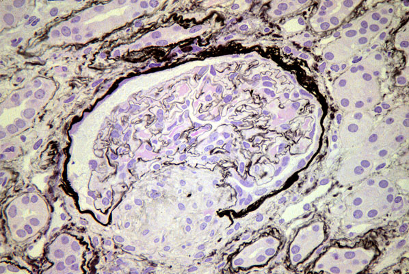
Effects of renal artery sclerosis
Click picture to enlarge. Close window to return

Massive hypertrophy of the juxtaglomerular apparatus.