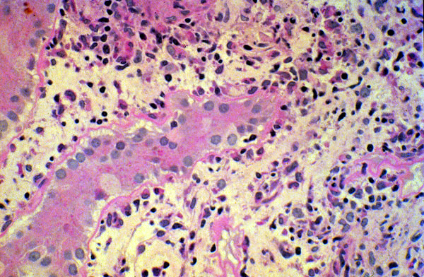
Allergic acute interstitial nephritis, photomicrograph, H&E
Click picture to enlarge. Close window to return

Neutrophils in the interstitium and along tubular walls.