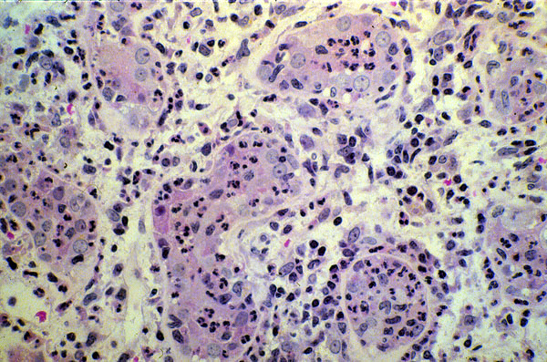
Acute pyelonephritis, micro, H&E
Click picture to enlarge. Close window to return

Neutrophils in tubules, infiltrating into the interstitium.